Leczenie bruksizmu – odpręż się, chroń zęby, pozbądź się bólu!

Indywidualna diagnostyka – Precyzyjna analiza przyczyn bruksizmu, dostosowana do Twoich potrzeb.

Szyny relaksacyjne – Ochrona zębów przed ścieraniem i redukcja napięcia mięśniowego.

Terapia toksyną botulinową – Skuteczne rozluźnienie mięśni żwaczy, zmniejszenie napięcia i bólu.

Fizjoterapia i masaże – Wspomagające metody redukujące napięcie mięśniowe i poprawiające komfort.

Holistyczne podejście – Leczenie uwzględniające stres, wady zgryzu i inne czynniki wpływające na bruksizm.

Zadbaj o swoje zdrowie i komfort – skutecznie lecz bruksizm i chroń swój uśmiech!

Co to „Bruksizm”:

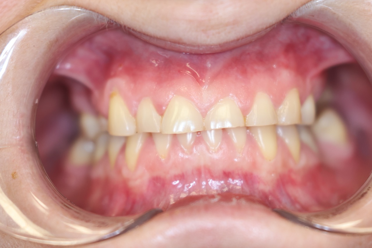
Bruksizm to nawykowe, niekontrolowane zaciskanie szczęk i zgrzytanie zębami, które najczęściej występuje podczas snu, ale może pojawiać się także w ciągu dnia. Jest to schorzenie o podłożu wieloczynnikowym, często związane ze stresem, wadami zgryzu, napięciem mięśniowym lub problemami neurologicznymi. Bruksizm prowadzi do nadmiernego ścierania szkliwa, uszkodzeń zębów, bólu szczęki oraz bólów głowy i karku.

Nieświadome zaciskanie zębów może powodować także przerost mięśni żwaczy, co skutkuje zmianą rysów twarzy i przewlekłym napięciem mięśniowym. Nieleczony bruksizm zwiększa ryzyko chorób stawów skroniowo-żuchwowych, może osłabiać zęby, prowadzić do ich pękania, a nawet powodować zaburzenia snu. Dlatego kluczowe jest wczesne rozpoznanie problemu i wdrożenie skutecznego leczenia, aby chronić zdrowie jamy ustnej i poprawić komfort życia.

Konsekwencje nieleczonego bruksizmu

Nieleczony bruksizm może prowadzić do poważnych konsekwencji zdrowotnych. Nadmierne zaciskanie szczęki powoduje ścieranie szkliwa, pękanie zębów, a nawet ich rozchwianie, co w skrajnych przypadkach może prowadzić do ich utraty. Długotrwałe napięcie mięśniowe może wywoływać bóle głowy, karku i stawów skroniowo-żuchwowych, utrudniając codzienne funkcjonowanie.

Ponadto przerost mięśni żwaczy może zmieniać rysy twarzy, nadając jej masywniejszy wygląd. Bruksizm wpływa również na jakość snu, powodując jego zaburzenia i uczucie zmęczenia po przebudzeniu. Dlatego tak ważne jest szybkie wdrożenie odpowiedniego leczenia, które pozwoli uniknąć tych negatywnych skutków i poprawić jakość życia pacjenta.

Diagnostyka i przyczyny bruksizmu

Leczenie bruksizmu zaczyna się od dokładnej diagnostyki, aby określić jego przyczynę. Może on wynikać ze stresu, wad zgryzu, napięcia mięśniowego, a nawet problemów neurologicznych. Objawia się zaciskaniem szczęk i zgrzytaniem zębami, co prowadzi do ich ścierania, pękania i bólu mięśni twarzy. Często pacjenci nie zdają sobie sprawy z problemu, dopóki nie pojawią się pierwsze poważne dolegliwości. W naszej klinice stosujemy badania okluzyjne, analizę napięcia mięśniowego oraz konsultacje stomatologiczne, aby precyzyjnie określić źródło problemu. Wczesne wykrycie bruksizmu pozwala na skuteczne wdrożenie odpowiedniej terapii, minimalizując ryzyko poważniejszych konsekwencji zdrowotnych.

Metody leczenia bruksizmu

Leczenie bruksizmu obejmuje kilka metod, które dobierane są indywidualnie do pacjenta. Jednym z najczęstszych rozwiązań są szyny relaksacyjne, które chronią zęby przed ścieraniem i rozluźniają napięte mięśnie. Dla osób z bardzo silnym bruksizmem stosuje się terapię toksyną botulinową, która osłabia nadmiernie aktywne mięśnie żwaczy, zmniejszając ich napięcie i bóle związane z zaciskaniem szczęki. W niektórych przypadkach konieczna jest również korekta zgryzu lub leczenie ortodontyczne. Dodatkowo zaleca się terapię manualną, ćwiczenia relaksacyjne oraz eliminację stresu, ponieważ napięcie psychiczne często nasila objawy bruksizmu. Połączenie tych metod pozwala na skuteczne i długotrwałe złagodzenie dolegliwości.

OPINIE PACJENTÓW:

Jestem zachwycony efektem implantacji – zabieg był bezbolesny, a nowy ząb wygląda i funkcjonuje jak naturalny. To była najlepsza decyzja, dzięki której odzyskałem pewność siebie i komfort jedzenia!

Jestem zachwycony efektem implantacji – zabieg był bezbolesny, a nowy ząb wygląda i funkcjonuje jak naturalny. To była najlepsza decyzja, dzięki której odzyskałem pewność siebie i komfort jedzenia!

Jestem zachwycony efektem implantacji – zabieg był bezbolesny, a nowy ząb wygląda i funkcjonuje jak naturalny. To była najlepsza decyzja, dzięki której odzyskałem pewność siebie i komfort jedzenia!

Bruksizmowi mówimy dość!

Leczenie bruksizmu zależy od jego przyczyny i stopnia zaawansowania. Jedną z najczęściej stosowanych metod są szyny relaksacyjne, które chronią zęby przed ścieraniem i redukują napięcie mięśniowe. W bardziej zaawansowanych przypadkach stosuje się terapię toksyną botulinową, która osłabia nadmiernie napięte mięśnie żwaczy, zmniejszając ich aktywność i ból.

W leczeniu bruksizmu kluczowe jest również wyeliminowanie czynników stresowych, terapia manualna, ćwiczenia relaksacyjne oraz fizjoterapia. W niektórych przypadkach konieczna jest korekta zgryzu lub zastosowanie ortodoncji. Skuteczna terapia pozwala nie tylko chronić zęby, ale także poprawić komfort życia i zapobiec dalszym powikłaniom.

Skonsultuj się z nami!

Jeśli cierpisz na zgrzytanie zębami, bóle szczęki lub napięcie mięśni twarzy, zapraszamy na konsultację w naszej klinice. Nasi specjaliści przeprowadzą dokładną diagnostykę, aby określić przyczynę bruksizmu i dobrać najlepszą metodę leczenia. Podczas wizyty ocenimy stan zgryzu, napięcie mięśniowe oraz ewentualne uszkodzenia zębów.

Oferujemy nowoczesne rozwiązania, takie jak szyny relaksacyjne, toksyna botulinowa i terapia manualna. Skuteczne leczenie bruksizmu pozwala chronić zęby, zmniejszyć ból i poprawić komfort życia.

FAQ – Leczenie bruksizmu:

Bruksizm to mimowolne, najczęściej nocne zaciskanie zębów lub zgrzytanie nimi. Objawy mogą obejmować ścieranie szkliwa, ból mięśni twarzy, głowy lub szyi, nadwrażliwość zębów, a także problemy ze stawem skroniowo-żuchwowym.

Bruksizm może mieć wiele przyczyn, m.in. stres, zaburzenia neurologiczne, nieprawidłowości zgryzowe, a także działanie niektórych leków. Czasem występuje również jako efekt uboczny zaburzeń snu.

Tak, dentysta może rozpoznać objawy bruksizmu na podstawie wywiadu oraz badania klinicznego, zwracając uwagę m.in. na starcie zębów, napięcie mięśni żwaczy czy zmiany w stawie skroniowo-żuchwowym.

Leczenie może obejmować stosowanie indywidualnie dopasowanych szyn relaksacyjnych, które ograniczają skutki zgrzytania zębami, a także modyfikację codziennych nawyków, ćwiczenia relaksacyjne czy konsultacje z innymi specjalistami.

Tak, długotrwały bruksizm może powodować uszkodzenia zębów, recesje dziąseł, bóle głowy, a nawet dysfunkcje stawu skroniowo-żuchwowego. Wczesna diagnoza i odpowiednie postępowanie mogą zmniejszyć ryzyko dalszych problemów.

Najpopularniejsze zabiegi: